12月23日晚,北流市人民医院医护人员快速实施急诊冠状动脉造影及支架植入术(简称“急诊PCI”),成功救治一名急性广泛前壁心梗47岁男性患者,再次获得群众和患者家属好评。
当晚21时30分,患者突发心前区闷胀,伴有全身出汗及左上肢冰冷感,休息无缓解,胸闷呈持续性,后因症状加重到我院急诊就诊。我院急诊医护人员于22时08分接诊,并于22时10分完成首份心电图,22时11分心电图诊断为急性ST段抬高型广泛前壁心肌梗死,情况危急。
我院心血管内科主任杨勇接到报告后,火速赶往医院,分析病情,果断决定为患者进行急诊PCI手术。


急诊PCI手术
在向患者家属详细说明手术的必要性及风险并征得同意后,杨勇主任带领科室介入手术团队迅速展开工作,将患者送入了导管室,并以最快的速度完善术前准备。23:02分开始手术,介入团队密切配合,快速穿刺桡动脉、置管、造影、开通闭塞血管,植入支架。经过约40分钟的全力救治,成功挽救了患者的生命。目前,术后患者症状明显改善,恢复较好。
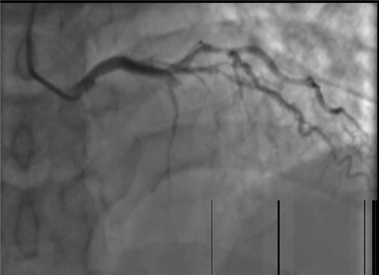
手术之前
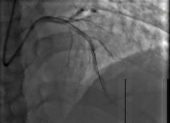
手术之后
急性心肌梗死,具有发病迅速和病死率高的特点,近年来呈明显上升趋势。这次抢救成功,是北流市人民医院医护人员又一次团结协助、共同努力的结果,是我院应急救治能力和反应速度的一次有效检验。